Video file

CSO Cobra HD Fundus Camera

Cobra: the next generation of non-mydriatic fundus camera

The Cobra is an innovative, non-mydriatic, digital fundus camera that combines all of the functions needed for fast retinal screening. By using its new optical system, the Cobra provides high quality retinal pictures.

With its ergonomic design, the Cobra provides a clear and detailed vision of the entire ocular fundus, with a 50 degree, horizontal field of view. Pictures are acquired with minimal flash, which in turn allows for minimizing a patients exam time.

Call our expert team today on 01527 501077

Further Information

The high resolution CCD sensor (5MP in the HD version) is both used for the patient alignment (with an IR source) and for the retinal picture acquisition (with a white LED flash and IR).

The Cobra connects directly to a PC via a USB 3 cable, which in turn allows for a very high data transfer rate between the devices.

Patient data is saved in a database, provided by Phoenix software. Standalone or network station options are both available. DICOM features are integrated within the Phoenix software.

High resolution acquisition
Acquire a very detailed picture with its integrated, colour, digital camera.

Retimax overlap tool
The Cobra HD provides the new Retimax plus fundus tool, that adds a multifocal ERG test feature, by combining multifocal ERG and photography of the retinal fundus. This helps in the detection and observation of progression in the macular and other limited retinal areas.

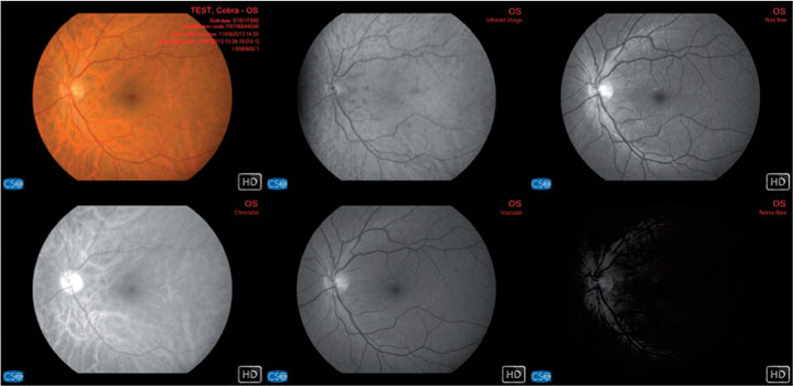
Wavelengths splitter
Showing, on screen, the original picture, infrared, red-free, choroidal component, vascular and optic fibre.

Infrared picture acquisition
InfraRED pictures are acquired using an LED infraRED light source.

Mosaic function
By using manual acquisition, the Cobra can acquire pictures from different retinal zones with the possibility to show a wider retinal vision thanks to its mosaic function. The mosaic function allows you to compose pictures of different targets, together on the screen, at an 80 degree field of view.

Pupil size
Suitable for a pupil size as small as 2.5mm.

AVr evaluation tool
The new AVr tool provides an advanced and complete screening of the cardio-vascular health of the patient, by performing an analysis of the health of the arteries and veins in the ocular fundus. An index called AVr (Arteriolar-To-Venular ratio) provides a risk percentage for a 3 year period.

MGD analysis tool
The Cobra includes an advanced tool for Meibomiam Glands Dysfunction (MGD) analysis. This tool, through taking an easy, colour photograph, and without the use of any additional accessories, provides an evaluation of the glands loss criticity (5 steps scale).

Phoenix Software imaging and archiving features:

  • Image processing advanced features
  • Drawing features
  • Measurement tools
  • Mosaic function
  • Meibomiam Glands Dysfunction (MGD) analysis tool
  • AVr evaluation for heart attack risk
  • Advanced printout functions (comparison visible-IR and OD-OS at the same time)
  • Wavelengths splitter summary printout on the same page
  • Integration with ERG test performed by Retimax

Imaging features:

  • Zoom effects
  • Colour control and filtering
  • Measurement
  • C/D ratio, Disc HV, Cup HV
  • Drawing (text/objects can be inserted)
  • Edge enhancement
  • Grey scale
  • Contrast RGB
  • Red-free and channel splitting
  • Colour inversion
  • Brightness, contrast and gamma control
Videos
Video file
Media Gallery
Image
Image
Image
Image
Image
Image
Image
Image
Available Downloads