Video file

Meda MD-2300S Ultrasonic A/B Scanner

Cutting edge, revolutionary, ultrasonic A/B scanner for ophthalmology.

  • High Definition 20MHz B-scan Image
  • High Resolution LCD touch screen
  • Image/video snapped and stored in real time in multiple buffer slots for immediate comparison and review
  • Multiple TGC options for operator's preference including vitreous - enhanced mode
  • Editable clinical report with A-scan/IOL results, B-scan images, and textual comments with configurable entries
  • Reports in PDF format for sharing and print-out
  • Compatibility with graph/text printer
  • Diverse connections via HDMI and USB 2.0 ports
  • HDMI interface for double-screen showcase

Call our expert team today on 01527 501077

Further Information

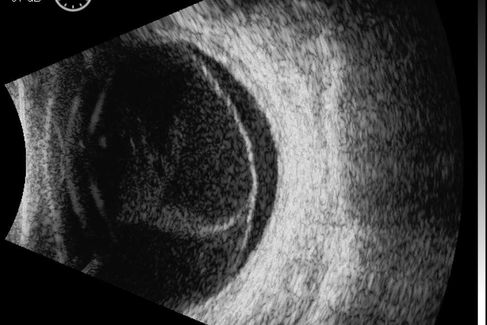
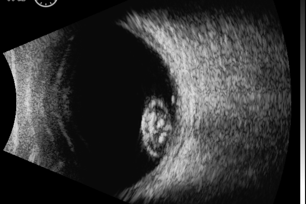
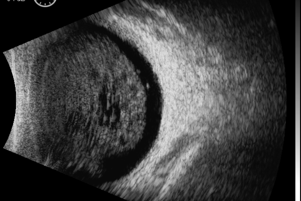
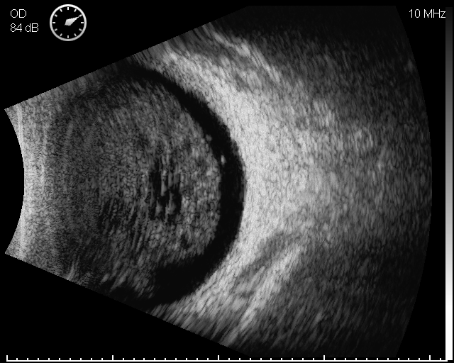
B-Scan

  • Ultrasound Probes: 10MHz B-Scan Probe; new 20MHz B-Scan Probe
  • Axial Resolution: 10MHz: ≤0.1mm; 20MHz: ≤0.08mm
  • Lateral Resolution: 10MHz: ≤0.2mm; 20MHz: ≤0.15mm
  • Scan Depth: 10MHz: 28mm-60mm; 20MHz: 19mm-40mm
  • Scanning Angle: 53°
  • Dynamic Loop: 10s/100 images, loop or frame-by-frame playback
  • Image Saving: 100 images
  • Gray Scale: 256 Levels
  • Gain: 1-105dB adjustable
  • TGC: -20dB to 20dB with dynamic range, manual sectional adjustment (6-section adjustable)
  • Post-processing: Frame-Averaging; Pseudo-Color Codes; Gamma Correction; Text Annotation & Image Magnification

A-Scan

  • Ultrasound Probe: 10MHz with Fixation Red Light
  • AL Biometric Measuring Range: Axial Length (AL): 15mm-40mm;
  • AL Biometric Measuring Accuracy: No more than ±0.05mm;
  • Total Gain: 98dB, user’s gain adjustability: 1~60dB;
  • Measuring Mode: 5 groups (Normal, Aphakic, Special, Cataract and Manual Measurement);
  • Measuring Method: Immersion/Contact;
  • IOL calculation: SRK-T, SRK-II, BINK-II, HOLLADAY, HOFFER-Q and HAIGIS;
  • Support IOL calculation after refractive surgery, two groups of formulas can be calculated contrastively and displayed simultaneously.
  • Automatic measurement and 10 groups averaging and display standard deviation.
  • Up to 8 groups of IOL constants can be stored.

General

  • User Interface: monitor, keyboard, mouse, touch screen and foot switch
  • Monitor: resolution≥1024×768, grayscale≥256
  • Keyboard and Mouse: USB interface, wireless keyboard and mouse
  • Output Interface: 4×USB2.0 and HDMI interface
Videos
Video file
Media Gallery
Image
Image
Image
Image
Image
Image
Image
Image
Image
Image
Image
Image
Image
Available Downloads
Document